马克“心”资讯 | “杨”帆远航 结构故事会|Toolbox续写微创——ECMO-TAVR术后TEER一例

2025-10-27

主动脉瓣狭窄合并功能性二尖瓣反流是临床常见的老年瓣膜病病理类型。以往研究表明,虽然合并二尖瓣关闭不全的患者TAVR术后较不合并严重二尖瓣关闭不全患者死亡率高,但约半数TAVR术后患者二尖瓣反流程度明显改善。因此,对于不耐受外科手术的AS合并FMR患者TAVR手术是可选的治疗方案。但真实世界中,还有大量TAVR术后MR并未明显改善的患者。此类患者TAVR术后症状改善有限,生活质量差,心功能可能进一步减低。以往对于此类患者缺乏更加完善的诊疗方案,TAVR术后多以药物治疗为主。


经导管瓣膜病治疗技术的快速发展不断为临床提供新的治疗方式选择,并促进治疗理念更新。从TAVR到TEER,再到二尖瓣、三尖瓣的多种修复和置换技术研发,在临床呈现的是一系列新技术新器械组成的Toolbox。随着Toolbox内容的逐渐丰富和成熟,源自外科手术的复合治疗方案,如多瓣膜疾病的综合手术治疗,逐渐可以通过Toolbox中的不同技术组合形式以微创经导管非体外循环手术的方式实现。经导管瓣膜病的Toolbox技术理念为不能耐受体外循环手术的危重症患者治疗提供了重要的技术解决方案。


本期故事会为大家展示一例TAVR术后7年因FMR重度二尖瓣反流高龄高危患者行TEER治疗的诊疗过程,期待大家共同探讨。


患者基本信息


患者男,78岁,体重72Kg,患者7年前因重度AS合并急性心衰,行急诊ECMO辅助下TAVR手术,2年前出现胸闷气短加重,并伴有双下肢水肿,经治疗后好转,1月前症状出现并加重。5年前与2年前突发脑梗,于当地医院行溶栓手术治疗。术前诊断:主动脉瓣置换术后,二尖瓣关闭不全,三尖瓣关闭不全,心衰,心功能IV级(NYHA分级)。


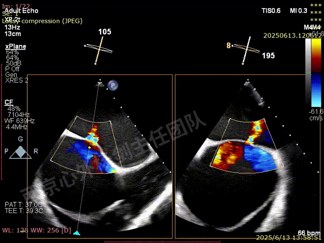
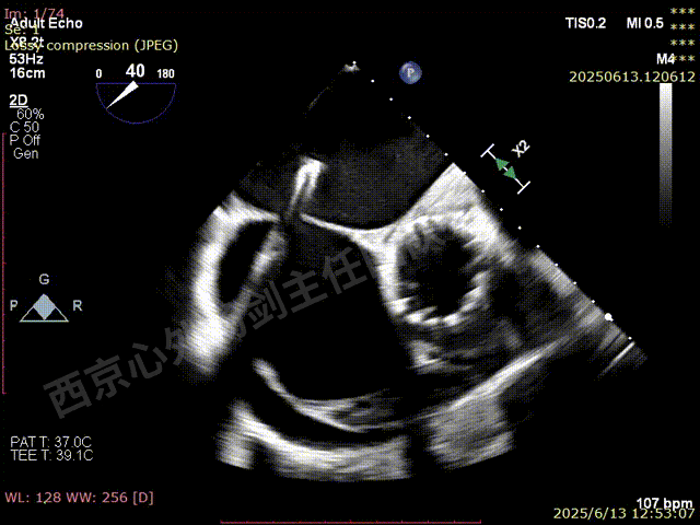
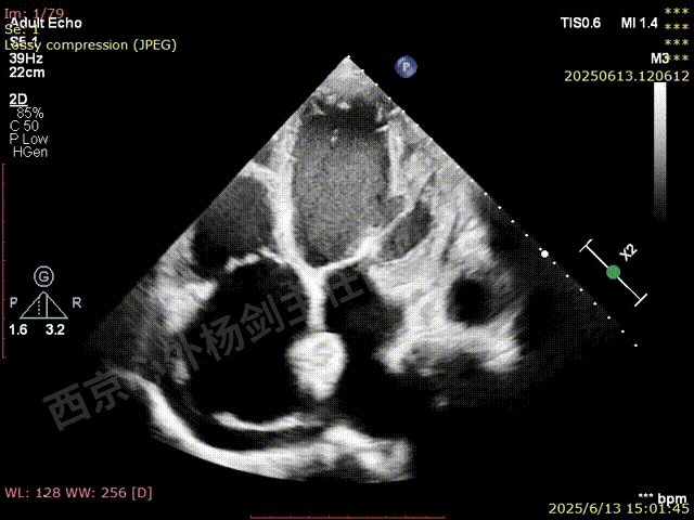
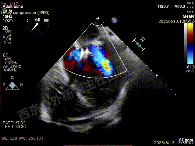
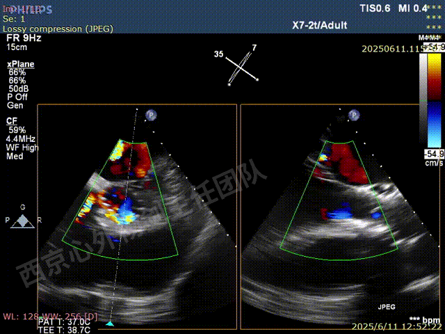
术前超声检查


图片
图片


TAVR术后,全心增大,二尖瓣反流重度,三尖瓣反流重度。中量心包积液。左室严重增大,标准图像调整困难。主动脉瓣位带支架人工瓣膜瓣叶启闭正常,主动脉瓣位人工瓣上血流速度Vmax 148cm/s,PGmax 9mmHg,Vmean 86cm/s,PGmean 2mmHg, VTI 34.7cm,瓣周反流(轻)。估测肺动脉收缩压约49mmHg;左室收缩功能明显减低。LVEF:23%,EDV:364ml,ESV:221ml。


彩色血流示:二尖瓣反流缩流颈彩宽6.6mm,面积17cm²,容积30ml;二尖瓣瓣口面积6.6cm²,瓣环内径:左右径34mm,前后径34mm。2区瓣叶长度:前叶36mm,后叶20mm,叶环比1.6. 三尖反流面积17.2cm²,容积33ml,Vmax 291cm/s,PGmax 34mmHg。


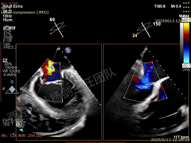
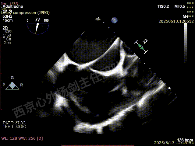
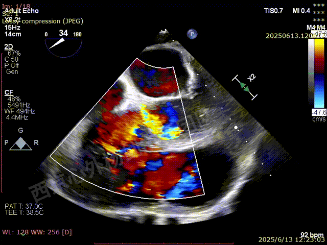
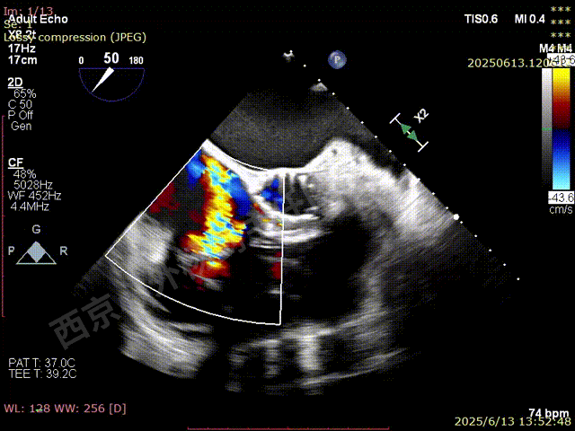
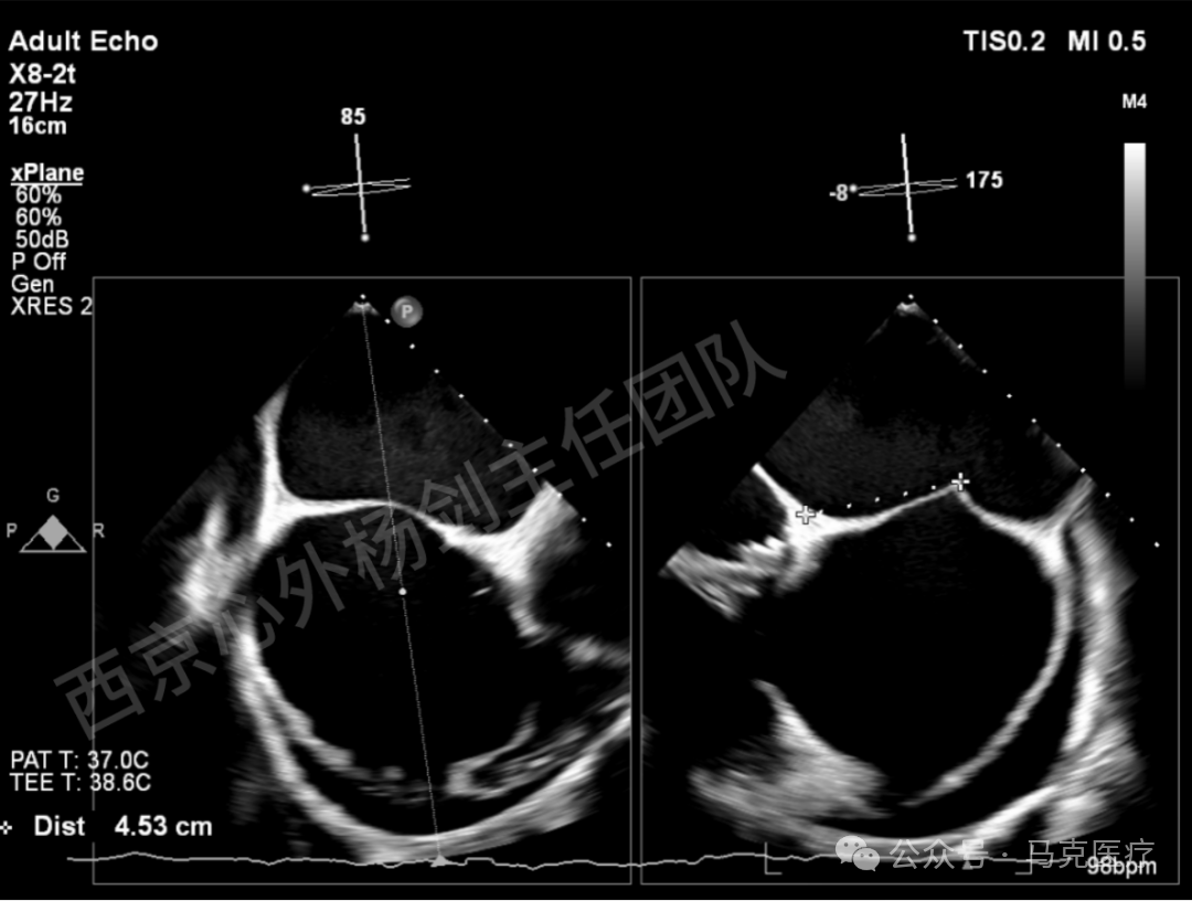
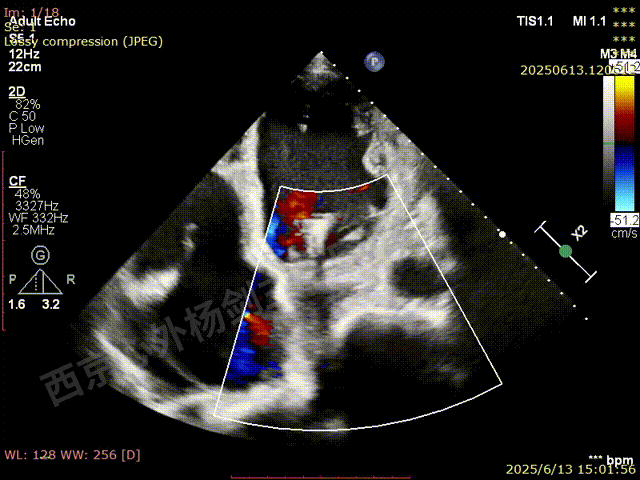
TEER术前超声评估


图片
图片


二尖瓣后叶栓系严重,前叶相对错位,反流束沿2区分布广泛,2偏3区处存在反流。


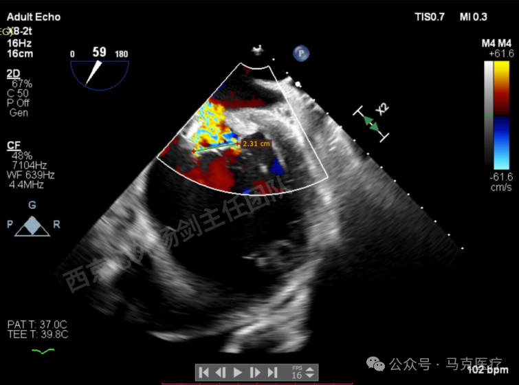
图片


反流宽度至少23mm,因影像调整困难,考虑实际反流更宽。


术前3D数字模型


图片


TEER手术难点


1、心脏过大,术中影像标准切面难以获取,TEE引导难度较大。

2、后叶大片栓系,栓系严重至8点钟,反流宽度较宽,α角度大,捕捞困难。


TEER手术策略


1、第一枚Mitraclip G4 XTW置于2区中央,改善对合,解决反流。

2、根据残余反流情况,优化第一枚夹子或side by side一枚XT或XTW。

3、双夹以上策略可能性大。

4、瓣叶栓系严重需要人为制造hug,穿刺位点可考虑不必太后。


TEER术中操作


图片
图片

房间隔穿刺,最终高度4.5cm


图片
图片

超声引导下,扩张器螺纹组织及等号标记依次通过房间隔


图片
图片

第一枚XTW在2区弹道测试调整


图片
图片

第一枚XTW打开确认orientation,穿刺位置良好无需调整hug


图片
图片

XTW进入瓣下,以较小的角度先捕捞后叶


图片
图片

反复尝试,瓣叶卷曲,前后瓣叶不明确


图片
图片
图片

捕捞完成后确认orientation,gripper down


图片
图片


图片
图片

夹子关闭后检查夹子两侧反流


图片
图片

第一枚XTW释放后评估,外侧反流基本消失,内侧仍然有中度以上反流


图片
图片

第二枚XT于第一枚夹子内侧瓣上调整


图片
图片

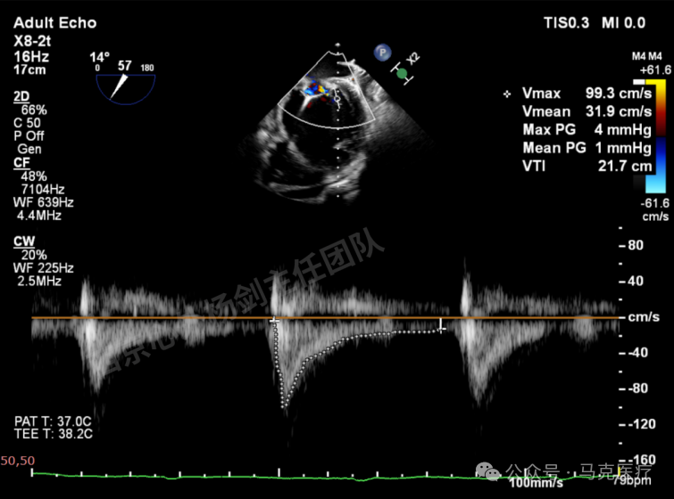
第二枚XT关闭后评估,trace


图片

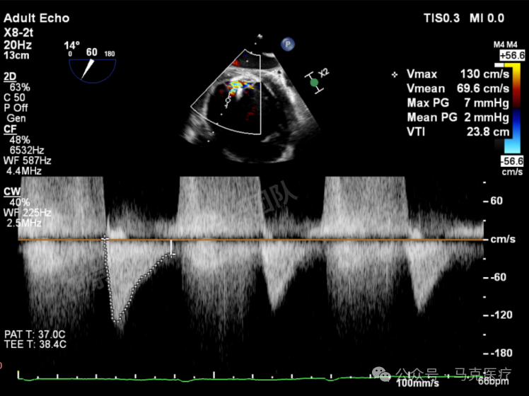
二尖瓣平均跨瓣压差1mmHg


图片
图片


图片
图片

释放后评估,反流降至1+,组织桥稳定


图片
图片

SGC撤回右房后,观察到有右向左的反流,血氧饱和度下降


图片
图片

行房间隔封堵


图片
图片

M-TEER术后三尖瓣反流减轻


小结

1.Toolbox技术是不能耐受外科手术危重瓣膜病患者可选的治疗方案,随着Toolbox的丰富成熟,合并多种瓣膜病的高危患者可以同期或分期行微创经导管治疗获益。

2.针对VFMR病例,栓系瓣叶与AP径成角越大,越需要考虑MR实际恶化程度及捕捞瓣叶难度。

3.针对术前肺动脉压力偏高患者,TEER术后应关注医源性房间隔缺损可能导致的右向左分流及低氧血症,必要时行房间隔封堵。

4.合并三尖瓣关闭不全患者,M-TEER 后三尖瓣反流可能会出现改善。


参考文献:

⇅ 向上滑动阅览

[1] Angellotti, D, Praz, F, Windecker, S. Tricuspid and mitral regurgitation after mitral transcatheter edge-to-edge repair: a complex interplay. EUR HEART J. 2025; 46 (15): 1428-1430.
[2] Rim, Y, McPherson, DD, Kim, H. Mitral valve function following ischemic cardiomyopathy: a biomechanical perspective. BIO-MED MATER ENG. 2014; 24 (1): 7-13.
[3] Nakai, H, Kaku, K, Takeuchi, M, et al. Different influences of left ventricular remodeling on anterior and posterior mitral leaflet tethering. CIRC J. 2012; 76 (10): 2481-7.
[4] Stone, GW, Abraham, WT, Lindenfeld, J, et al. Five-Year Follow-up after Transcatheter Repair of Secondary Mitral Regurgitation. NEW ENGL J MED. 2023; 388 (22): 2037-2048.
[5] Al-Kassou, B, Kapplinghaus, J, Meckelburg, C, et al. Prevalence of multiple native valvular heart disease in TAVR patients: a multicenter study assessing the impact of staged transcatheter edge-to-edge repair Eur Heart J. 2024; 45 (Supple1).
[6] Elkaryoni, A, Saad, M, Darki, A, et al. Mitral Valve Transcatheter Edge-to-Edge Repair After TAVR: A Nationwide Analysis. AM J CARDIOL. 2023; 209:184-189.
[7] Nagasaka, T, Shechter, A, Patel, V, et al. Two-Year Clinical Outcomes of Staged Transcatheter Mitral Edge-to-Edge Repair After Transcatheter Aortic Valve Replacement. AM J CARDIOL. 2024; 224:46-54.


图片


专家简介


图片


杨剑

空军军医大学西京医院(点击查看专家详细简历)

图片


图片


刘洋

空军军医大学西京医院(点击查看专家详细简历)

图片



延伸阅读

向上滑动阅览

“杨”帆远航结构故事会|畅通无阻 滴水不漏——CP+S3治疗ROSS术后主肺动脉狭窄合并肺动脉瓣反流一例

“杨”帆远航结构故事会|智选双门——生物瓣衰败VinV同期TAVR+TMVR一例

“杨”帆远航结构故事会|亡羊补牢 全面封锁——外交界脱垂伴瓣叶钙化SLDA成功补救TEER一例

“杨”帆远航结构故事会|“截杀心内巨龙”——罕见右冠-左室瘘介入封堵一例

“杨”帆远航结构故事会|雪中送炭 力挽狂澜——房间隔造口后异常分流紧急ECMO辅助TMVinR一例

“杨”帆远航结构故事会|序贯封堵巧排雷——3D打印指导主动脉根部包裹吻合口瘘经皮介入治疗
“杨”帆远航结构故事会|TMVR in MAC 球扩瓣or自膨瓣?
“杨”帆远航结构故事会|经导管肺动脉瓣置换术一例
“杨”帆远航结构故事会|极限挑战---ECMO辅助超大瓣环主动脉瓣返流TAVR一例
“杨”帆远航结构故事会|精准切割 完美释放——Lampoon +TMVinV治疗二尖瓣生物瓣衰败一例
“杨”帆远航结构故事会|精准评估 冲破藩篱——小瓣环冠脉风险生物瓣瓣中瓣TAVR一例
“杨”帆远航结构故事会|经导管三尖瓣缘对缘修复术治疗三尖瓣关闭不全
“杨”帆远航结构故事会|首例技术——非钙化风湿性二尖瓣狭窄TMVR
“杨”帆远航结构故事会|评估与决策——重度心衰轻度钙化大瓣环狭窄TAVR 1例
“杨”帆远航结构故事会 | 3D打印技术完善手术策略
“杨”帆远航结构故事会|TAVR联合二尖瓣瓣周漏封堵一站式手术一例
“杨”帆远航结构故事会|极致微创——经皮心尖穿刺入路封堵二尖瓣瓣周漏
“杨”帆远航结构故事会|化曲为直——经升主动脉球扩瓣TAVR
“杨”帆远航结构故事会|挑战不可能——经皮介入覆膜支架治疗A型孤立性弓离断1例
“杨”帆远航结构故事会|三尖瓣系列之经导管球囊扩张式瓣中瓣植入术
“杨”帆远航结构故事会|“捷径通优”---TMVR瓣中瓣技术路线优化
“杨”帆远航结构故事会|一线生机——烟囱支架左冠保护TAVR手术1例
“杨”帆远航结构故事会|未雨绸缪——球扩瓣Downsize及冠脉保护策略在AS-CAD中的应用
“杨”帆远航结构故事会|二尖瓣后叶宽大脱垂单夹TEER成功病例
“杨”帆远航结构故事会|查“漏”补“缺”——多封堵器TAVR术后瓣周漏封堵
“杨”帆远航结构故事会|TMVR——3D打印指导经导管二尖瓣置换治疗二尖瓣关闭不全
“杨”帆远航结构故事会|极致微创——经皮三尖瓣置换


图片


分享