近日,马克医疗技术团队运用3D打印技术,精准助力山东省千佛山医院TAVR团队完成一例经导管主动脉瓣置换手术,成功救治了一名主动脉瓣狭窄的患者。

• 基本情况 •
患者年龄74岁,女性,无明显诱因下出现胸闷气促,偶有胸痛。近期症状逐渐加重,就诊检查,诊断为主动脉瓣狭窄。
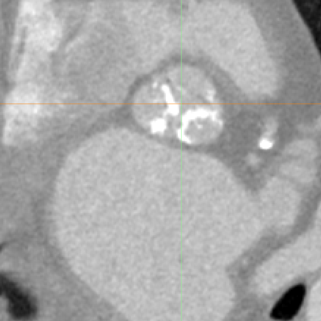
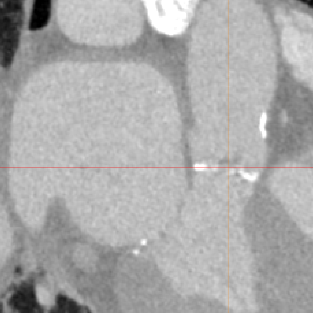
术前CT显示:三叶瓣,瓣叶中度增厚、中度钙化,窦部略偏小、基本等大;冠脉开口高度可;右冠窦窦管交界处上方升主、主动脉弓部、腹主及左右髂总动脉可见少到中量钙化斑块,右侧股动脉入路处扩张伴钙化。



• 手术策略 •
TAVR团队联合多学科专家进行了多轮沟通,详尽评估了患者影像学资料,讨论了各种治疗策略及术中可能发生的风险与应对方法。该例患者年龄较大,心肺功能差,不适合进行常规开胸手术,各科室专家会诊讨论后,决定采用经导管主动脉瓣置换术,并于术前采用马克医疗3D打印模型进行体外模拟辅助该例经导管主动脉瓣置换术。

• 3D打印主动脉根部 •
术前,马克医疗技术团队运用3D数字重建技术,将患者的主动脉根部解剖区域影像转化为3D数字模型。


采用全色彩多材料3D打印机制成1:1实物模型。






• 手术过程 •
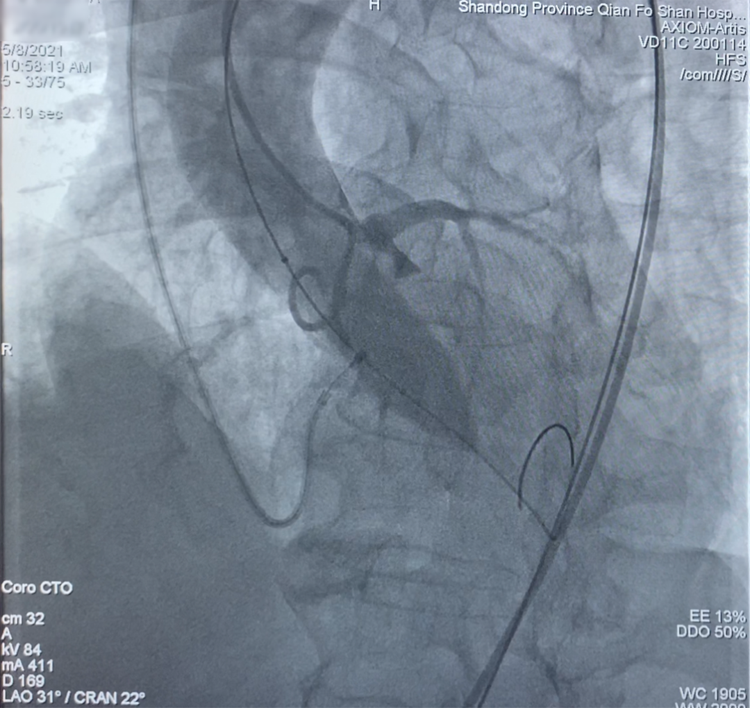
1. 使用20mm球囊跨瓣后进行预扩张,窦底造影显示球囊膨胀完全,冠脉显影通畅,无瓣周漏。

2. 迅速送入Vitaflow27mm人工瓣膜至主动脉瓣释放位置,尝试调整人工瓣膜与主动脉瓣同轴,进行释放。

3. 释放瓣膜成功,位置良好,形态理想,瓣叶开闭正常,流速正常,未见瓣周漏。